Title: Creative Bridging Technique with SNaP™ Therapy System in the Treatment of Toe Ulcer
Authors: Kimberley LEOW, BSc(Podiatry)1; Leon Timothy Charles ALVIS, BHlthSc(Podiatry)1; Aprine TAN, MBBS (Singapore)2; Keng Lin WONG, MBBS (Singapore), MRCS (Edinburgh), MMed(Ortho) (Singapore)2,3,4
Affiliations:
Abstract:
Introduction: Location of foot and toe ulcers may pose a challenge during SNaP therapy system application due to the many curved surfaces and difficulty in offloading. To date, emerging concepts of bridging techniques being used in tandem with SNaP therapy system to manage toe ulcers have yet to be described in the current literature.
Case report: The patient presented with pain and swelling of his right second toe with elevated inflammatory markers associated with hyperuricemia. A diagnosis of right second toe infected gouty tophaceous ulcer was made. Initial treatment consisted of analgesia, colchicine, and intravenous antibiotics. Subsequently, the patient underwent a surgical excision of the infected gouty tophi. SNaP therapy system was employed and the authors employed a novel bridging method allowing the sub-atmospheric pressure to flow from the ulcer to the top of the foot via the bridging foam. The proximal placement of the suction tubing on the dorsal area of the forefoot and away from the toe enabled the patient to ambulate normally to perform activities of daily living. The application and maintenance of the SNaP dressing was otherwise uneventful and was continued for 5 more weeks. Eventually, the right second toe wound healed by secondary intention, achieving full granulation and epithelialisation in 8 weeks following the operation.
Conclusion: This single case study described a creative bridging technique during SNaP therapy application for an atypical toe ulcer, and was found to be effective in facilitating wound healing and eventual toe salvage.
INTRODUCTION
Negative pressure wound therapy (NPWT) refers to an advanced wound care system that delivers sub-atmospheric pressure to facilitate wound healing. The efficacy of NPWT in the treatment of acute and chronic wounds has been largely supported by various clinical studies. There is significant evidence that NPWT promotes angiogenesis and improves cell proliferation, thereby reducing time to heal and the overall cost of treatment [1-3].
The Smart Negative Pressure (SNaP) therapy system is a single-use mechanically powered NPWT device designed for smaller and less exudating wounds [4]. Various studies showed promising results for employing SNaP therapy in such wounds [1, 5]. Furthermore, compared to electrically powered NPWT devices (also known as vacuum-assisted closure (VAC) therapy system), SNaP therapy offers greater convenience and better quality of life to patients, hence increasing patient satisfaction and compliance to therapy [1].
However, the location of foot ulcers may pose a challenge during SNaP therapy system application due to the many curved surfaces and difficulty in offloading. Therefore, emerging concepts of bridging techniques have expanded the utilisation of SNaP therapy system for smaller wounds and in more challenging locations of the foot (such as weight-bearing areas) [6]. Till date, the use of any bridging technique to manage toe ulcers has yet to be reported in the current literature. In this case study, the authors describe a creative technique that was employed to bridge a toe ulcer during SNaP therapy application and evaluate the effectiveness of this technique to facilitate wound healing.
Patient Case Report
A 55-year-old Chinese gentleman presented to the hospital for a painful right second toe of one-day duration. He has a significant past medical history of untreated gout that was diagnosed approximately 35 years ago but was not initiated on regular urate-lowering therapy. He would periodically experience acute gout flares every 2-3 months and is complicated by a long-standing gouty tophus over the right second toe for the past 7-8 years. Other co-morbidities include mild hyperlipidaemia, and no social history of smoking and drinking.
On presentation, the patient complained of acute pain over his right second toe, associated with redness, warmth, and swelling. A thick whitish material was also seen spontaneously oozing from the swollen toe. There was no preceding trauma or injury to the toe. He was otherwise afebrile and vital signs were normal. On examination, the patient’s right second toe was diffusely erythematous and warm, with tenderness on palpation over the interphalangeal and metatarsophalangeal joint. Range of motion of the joints was full. In addition, a 2cm x 2 cm tophaceous ulcer with whitish chalky discharge was observed over the dorsolateral aspect of the toe. Both the dorsalis pedis and posterior tibial pulses were palpable and normal.
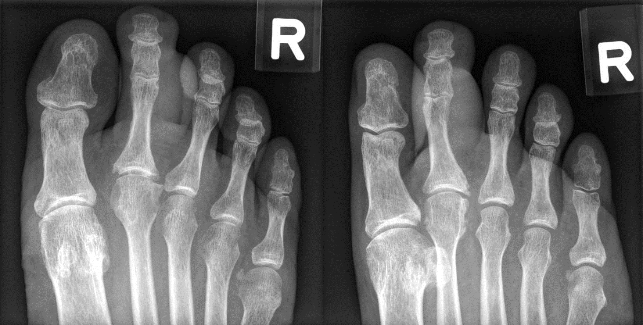
Initial investigations revealed raised inflammatory markers (TW 21.7 × 109/L, CRP 71.7 mg/L, ESR 45 mm/h) associated with hyperuricemia (9.9 mg/dL). A radiograph over the toes (Figure 1) showed gross soft tissue swelling over the right second toe and very small juxta-articular cortical erosions with sclerotic margins at the base and head of the right second proximal phalanx and head of right second toe metatarsal.

A diagnosis of right second toe acute gout flare with gouty tophi complicated by super-imposed cellulitis was made. Initial treatment consisted of analgesia (paracetamol and NSAIDs), colchicine, and intravenous antibiotics (amoxicillin-clavulanate). Subsequently, the patient underwent a surgical excision of the infected gouty tophi and wound debridement. The extensor tendon was found to be infected intra-operatively while the surrounding bones appeared healthy. A 2cm sinus track extending proximally from the dorsal second proximal interphalangeal joint towards the second metatarsophalangeal joint was noted. Intraoperative wound cultures yielded Streptococcus agalactiae (sensitive to penicillin, ampicillin; resistant to clindamycin). The postsurgical wound measured 1.6 cm x 1.8 cm x 2.0 cm, and was packed and dressed with SILVERCEL™ nonadherent dressing (3M + KCI). On postoperative day (POD) 2, the wound was inspected and found to be clean with no further gouty discharge.
METHOD
SNaP therapy system (125mmHg, 60mL cartridge) was employed in view of the presence of a sinus tract and small size of the post-surgical wound. However, the anatomical location of the toe wound, such as in this patient, complicates the utilisation of NPWT as the suction tubing could not be applied directly above the wound. Hence, the authors came up with a creative bridging method such that the suction tubing is placed proximally (dorsal area of the forefoot) and away from the toe, allowing the sub-atmospheric pressure to flow from the ulcer to the top of the foot via the bridging foam.
Bridging Technique for Toe Ulcer
Figure 2 illustrates the bridging technique. To protect the periwound skin from the bridging foam, a piece of hydrocolloid film was laid down on the skin from the ulcer site dorsally and proximally to top of the forefoot area. Next, a hydrocolloid paste was placed approximately 0.5cm away from the perimeter of the wound and bridging area. This step helps to ensure adequate sealing on the curved surfaces of the toes and interdigital areas. Then, a strip of foam was cut to fit the wound and form an extension from the ulcer to top of the forefoot area. Finally, the suction tubing was placed over the exposed section of the foam bridge on the dorsum of the foot. More hydrocolloid film may be applied on the surrounding for a better seal. Once secured, the tubing was connected to the cartridge and activated to initiate the SNaP therapy system.

RESULTS
SNaP therapy system was applied for the patient on POD 2 (Figure 3). The application and maintenance of the SNaP dressing was otherwise uneventful. At the next wound inspection on POD 5, the wound was clean and inflammatory markers down-trended (Table 1). The patient was thus discharged to continue outpatient therapy, with the antibiotics therapy oralised to complete one-week duration. SNaP therapy system was continued for 5 more weeks and the patient was seen twice a week at podiatry clinic. Subsequently, wound treatment was stepped down to topical wound dressing, with weekly podiatry review. After 8 weeks from the operation, the wound had fully healed and the patient was discharged (Table 2, Figure 4).




DISCUSSION
We report a case of a creative technique of bridging being employed in the application of SNaP therapy system on a toe ulcer. The application and the wound healing process with the SNaP therapy system was uneventful and good outcome was achieved.
The SNaP therapy system is a mechanically powered NPWT device with specific use in smaller wounds. Numerous studies in the literature advocate for the use of NPWT in post-surgical wounds as it aids in the proliferation of granulation tissue, shortening time to wound healing, and avoiding complications related to wound chronicity [7, 8]. Similarly, the SNaP therapy system showed promising results in promoting healing in chronic small wounds [9], with largely similar or better results when compared to VAC therapy system [5, 10]. For example, an RCT conducted in 2015 by Marston et al. found that venous ulcers treated with SNaP therapy system demonstrated a higher likelihood of complete wound closure than those treated with VAC therapy system [5]. The SNaP therapy, being more compact and does not require battery power, offers significant quality of life benefits over VAC therapy, such as higher mobility, reduced noise level, improved sleep, and overall wearability [1]. These results in higher patient compliance and hence more effective hours per day receiving NPWT therapy, which may contribute to the improved wound healing seen on SNaP therapy.
However, it remains a challenge to employ NPWT for smaller wounds on curved surfaces on the feet or toes. Firstly, the suction tubing of NPWT cannot be applied directly above such wounds due to the small surface area. Secondly, the inappropriate placement of the suction tubing may also hinder the mobility of toe joints, which may lead to more discomfort and potentially skin pressure lesions. Furthermore, the foot is highly mobile and its multiple curved surfaces increase the risk of NPWT leakage which reduces its efficacy. Hence, the authors described a creative bridging technique during SNaP therapy application to address the shortcomings of usual NPWT on such wounds. The creation of the bridging foam, with the suction tubing being placed proximally and away from the toe, allowed the subatmospheric pressure to flow from the ulcer to the dorsal area of the forefoot, thereby decreasing the likelihood of hindering toe joint mobility and risk of skin pressure lesions. This bridging technique was found to be effective in facilitating full granulation and epithelialisation of the patient’s right second toe wound, resulting in eventual toe salvage. The patient was also able to ambulate normally whilst on SNaP therapy, and no adverse events, further surgery, or re-admissions were reported.
The use of similar bridging techniques in other forms of NPWT therapy has been described previously. In a study by Nather et al., a bridge dressing was employed for the suction pad to be placed outside of the foot, which allowed patients to wear protective shoes and to ambulate without weight-bearing via crutches during VAC therapy [11]. A recent study by Leow et al. also described the use of a novel extension technique allowing the employment of NPWTi-d dressings in postsurgical diabetic foot wounds with small entry points [12]. Overall, the above studies, along with this case study, highlights the importance of individualised application techniques and creative bridging methods of various NPWT therapy systems, to achieve practical and optimal treatment of post-surgical wounds.
Limitation
The limitations of this study are as follows. Firstly, as this is a case study with small sample size, the results may not be generalizable, hence additional studies in a larger patient cohort will be necessary. Secondly, SNaP therapy would not be ideal for larger wounds (bigger than 13 x 13cm, >180mL of exudate level per week). Lastly, due to the many curved surfaces of the feet, the use of hydrocolloid dressings for the bridging technique may result in microleaks as it easily forms creases. This can be overcome by applying a layer of hydrocolloid paste surrounding the foam to limit air leaks.
CONCLUSION
All in all, this single case study described a creative bridging technique used in tandem with SNaP therapy application for an atypical toe ulcer, and was found to be effective in facilitating wound healing and eventual toe salvage.
ACKNOWLEDGMENTS
Correspondence: Kimberley Leow, BSc(Podiatry), Sengkang General Hospital, Podiatry, 110 Sengkang East Way, Singapore, Singapore 544886; [email protected]
Disclosure: The authors disclose no financial or other conflicts of interest.